Descoperă Arta Odontoterapiei Moderne
Inovație și Precizie în Tratamentul Cariilor
Explorează metodele avansate de odontoterapie care îmbină estetica cu funcționalitatea pentru un zâmbet sănătos și strălucitor.
Ce Este Odontoterapia?
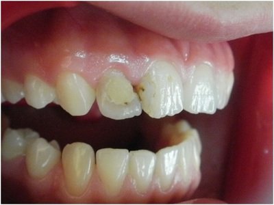
Odontoterapia este o ramură esențială a stomatologiei care se concentrează pe diagnosticarea, prevenirea și tratamentul cariilor dentare. Utilizând materiale de ultimă generație, acest tratament asigură reconstituiri dentare care nu doar că restaurează funcționalitatea, dar și îmbunătățesc estetica zâmbetului. Importanța odontoterapiei constă în capacitatea sa de a preveni complicațiile dentare, contribuind astfel la menținerea sănătății orale pe termen lung.
Caracteristici de Top în Odontoterapie
Materiale Avansate
Folosim materiale de ultimă generație care oferă durabilitate și un aspect natural, garantând rezultate estetice de excepție.
Tehnici Minim Invazive
Procedurile noastre sunt concepute pentru a păstra cât mai mult din structura dentară naturală, asigurând confort și recuperare rapidă.
Personalizare Tratament
Fiecare plan de tratament este adaptat nevoilor individuale ale pacientului, asigurând o abordare personalizată și eficientă.
Servicii de Odontoterapie
Descoperiți gama noastră completă de servicii de odontoterapie, concepute pentru a asigura sănătatea și estetica dentară.
Tratament Cariilor Simple
Oferim tratamente rapide și eficiente pentru cariile simple, utilizând materiale de ultimă generație pentru a asigura o restaurare durabilă și estetică.
Reconstituiri Dentare Estetice
Reconstituim dinții afectați de carii sau traumatisme, asigurându-ne că fiecare restaurare se integrează perfect cu restul danturii.
Tratament Cariilor Complicate
Gestionăm cazurile complexe de carii, oferind soluții personalizate care îmbină funcționalitatea cu estetica.
Programează-ți Consultația de Odontoterapie
Descoperă cum tratamentele noastre avansate de odontoterapie pot transforma sănătatea și estetica zâmbetului tău. Programează o consultație astăzi pentru a beneficia de cele mai noi tehnici și materiale de reconstituire dentară.
