Redefinirea Zâmbetului Tău
Protetica de Vârf pentru Restaurări Durabile
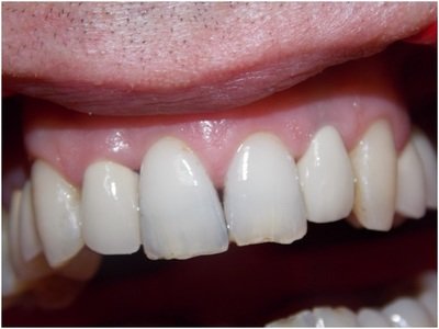
Descoperă soluții inovatoare pentru restaurarea completă a zâmbetului tău, cu accent pe estetică și funcționalitate.
Despre Noi
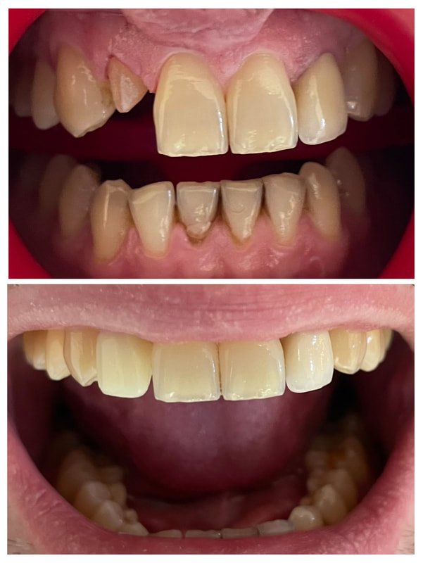
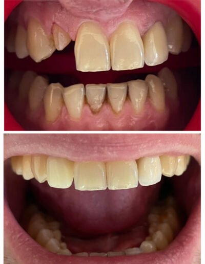
La ROVEDENT, ne dedicăm reabilitării protetice complexe, oferind o gamă variată de restaurări pentru a satisface nevoile fiecărui pacient.
De la restaurări fixe la proteze mobilizabile, ne asigurăm că fiecare soluție este personalizată și de cea mai înaltă calitate.
Pentru a le putea oferi cele mai bune tratamente pacienților noștri, ne bazăm pe abordarea interdisciplinară în cadrul tratamentelor protetice, apelând la expertiza tehnicienilor dentari- Laborator Dentaria, Arad (www.dentaria.ro).
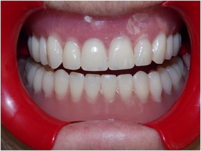
Echipa noastră de specialiști este aici pentru a transforma fiecare zâmbet cu tehnologie de ultimă generație și materiale de top.
Serviciile Noastre
Restaurări Metalo-Compozit
Oferim restaurări metalo-compozit care combină durabilitatea metalului cu estetica compozitului, ideale pentru o rezistență sporită și un aspect natural.
Restaurări Metalo-Ceramica
Metalo-ceramica este soluția perfectă pentru un echilibru între rezistență și estetică, oferind restaurări care imită perfect dinții naturali.
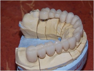
Restaurări Zirconiu
Restaurările pe schelet de zirconiu sunt alegerea premium pentru pacienții care doresc o estetică superioară și o durabilitate excepțională.
Servicii de Protetica
Proteze Acrilice Parțiale
Oferim proteze acrilice parțiale care sunt ușor de purtat și oferă un confort sporit pacienților, fiind ideale pentru înlocuirea dinților lipsă.
Proteze Acrilice Totale
Protezele acrilice totale sunt soluția perfectă pentru pacienții care au pierdut toți dinții, asigurând o estetică naturală și funcționalitate optimă.
Sisteme Speciale de Retenție
Utilizăm sisteme speciale de retenție pentru proteze, care oferă stabilitate și siguranță, îmbunătățind considerabil experiența utilizatorului.
Proteze Scheletate
Protezele scheletate sunt realizate din materiale biocompatibile, oferind o soluție durabilă și confortabilă pentru pacienții noștri.
Proteze Flexibile
Protezele mobile flexibile sunt concepute pentru a oferi o adaptare perfectă și un confort de neegalat, fiind ideale pentru pacienții cu sensibilitate crescută.
Consultanță Personalizată
Oferim consultanță personalizată pentru a alege cea mai bună soluție protetică, adaptată nevoilor și așteptărilor fiecărui pacient.
