Endodonție: Îngrijire Avansată pentru Sănătatea Dentară


Importanța Endodonției
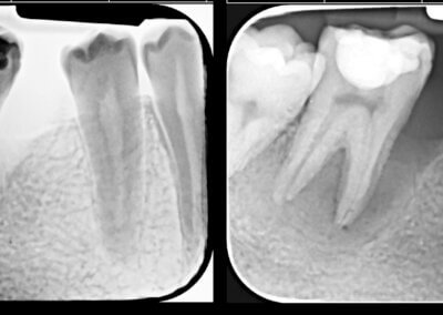
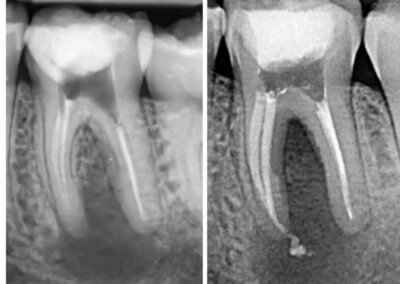
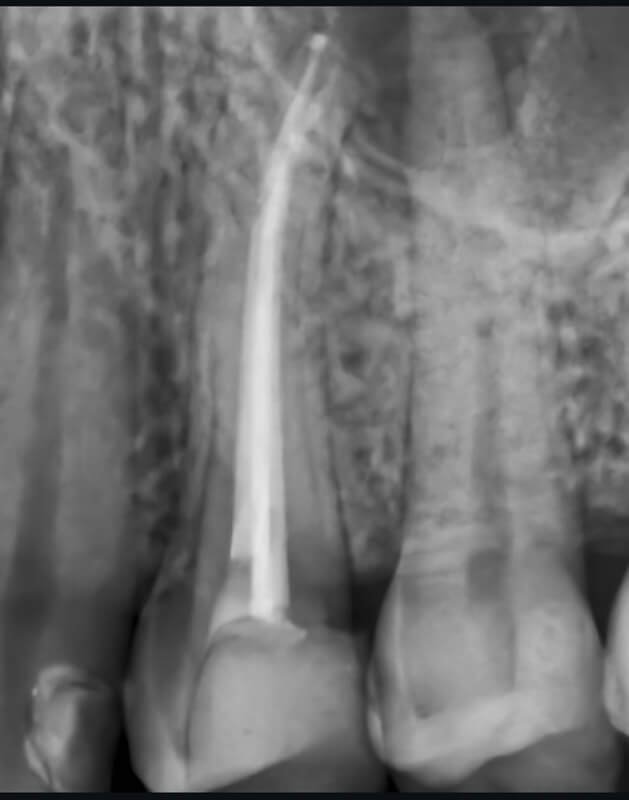
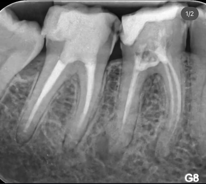
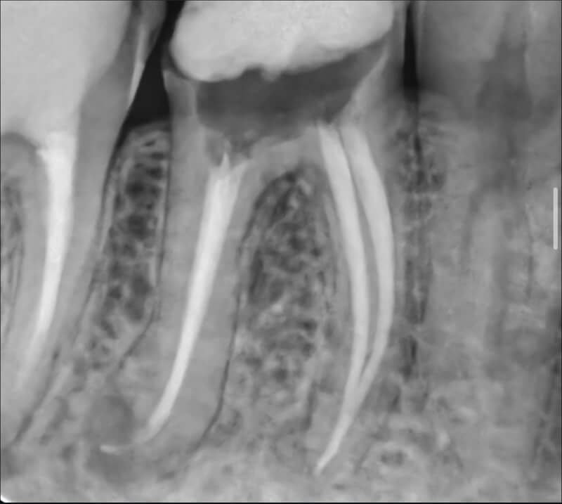
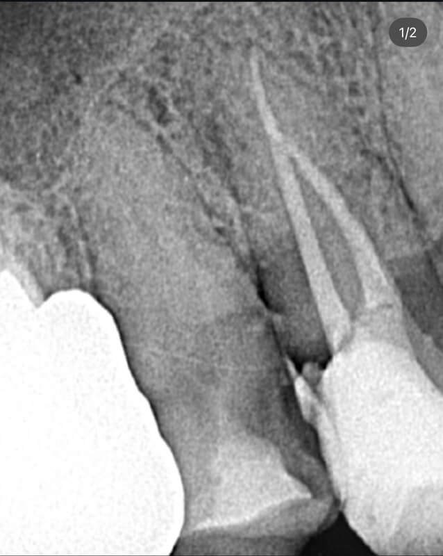
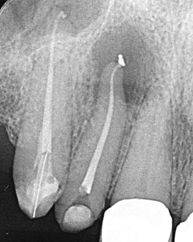
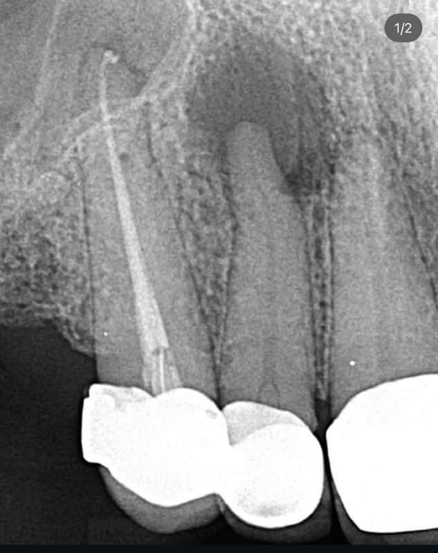
Endodonția este o ramură esențială a stomatologiei, axată pe diagnosticarea, prevenirea și tratamentul afecțiunilor pulpei dentare și a țesuturilor periapicale. Această specialitate joacă un rol crucial în salvarea dinților naturali, evitând extracțiile și menținând sănătatea orală pe termen lung. Prin tehnici avansate și echipamente de ultimă generație, endodonția asigură tratamente precise și eficiente, contribuind la redarea sănătății și funcționalității dinților într-un mod durabil și predictibil.
Beneficiile Tratamentele Endodontice
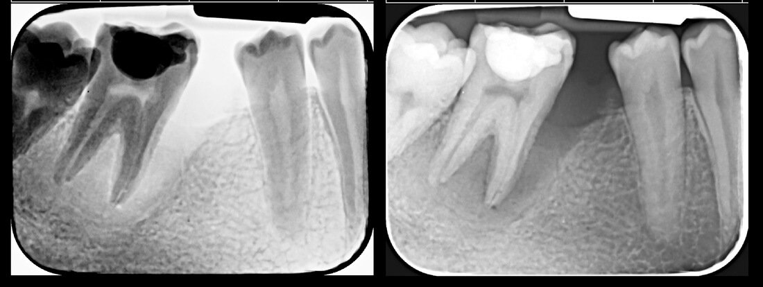
Tratamentele endodontice permit păstrarea dintelui natural, evitând extracția și menținând funcționalitatea acestuia.
Confort și Precizie
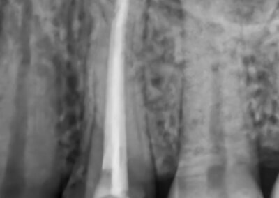
Utilizarea tehnicilor moderne asigură un tratament rapid, precis și confortabil pentru pacient.
Durabilitate și Stabilitate
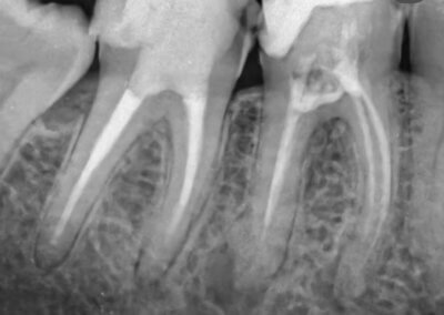
Reconstituirea coronară cu materiale de calitate conferă rezistență pe termen lung.
Prevenirea Complicațiilor
Tratamentele corecte reduc riscul de infecții și complicații viitoare.
Îmbunătățirea Sănătății Orale
Menținerea sănătății pulpei dentare contribuie la o sănătate orală generală mai bună.
Programează o Consultație Endodontică
Descoperă cum tratamentele noastre endodontice avansate pot salva dinții tăi naturali și îți pot reda zâmbetul sănătos. Programează o consultație astăzi și experimentează diferența oferită de profesionalismul și calitatea serviciilor noastre.






















